你有没有发现,最近网上有个超级火的东西,那就是国产沧龙积木拼装视频!是不是觉得这个名字有点陌生?别急,让我带你一探究竟,看看这个...
你有没有想过,家里的游戏机或者电脑摇杆突然不灵光了,是不是因为接线出了问题呢?别急,今天就来手把手教你如何给国产摇杆接线,让你轻...
哇,你有没有看过国产航母预警机首飞的视频?那场面,那震撼,简直让人热血沸腾!今天,就让我带你一起回顾一下那段激动人心的时刻,感受...
最近网上有个话题炒得挺热的,就是关于国产公共场合露出视频的事情。这事儿一出,网友们纷纷炸开了锅,各种议论纷纷。今天,我就来跟你聊...
动漫迷们,你是否曾为国产动漫的崛起而欢呼?那些充满创意和活力的画面,那些深入人心的故事,是不是让你忍不住想要一探究竟?今天,就让...
你有没有想过,在这个信息爆炸的时代,网络上的情侣互动方式也变得五花八门呢?今天,就让我带你一探究竟,揭秘那些在线情侣们是如何通过...
最近在网络上可是掀起了一股热潮呢!那就是国产电动车翻车视频的播放。这些视频不仅让人瞠目结舌,还引发了大家对电动车安全性的热议。今...
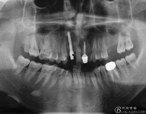
你知道吗?最近在网上看到一个国产种植体视频,简直让我大开眼界!这不,今天就来和你好好聊聊这个话题,让你也了解一下国产种植体的魅力...
你有没有听说过最近在网络上火得一塌糊涂的国产调教直男视频?没错,就是那种让你看了之后,仿佛能感受到屏幕那头直男们瞬间变软的神奇视...
你有没有想过,在这个信息爆炸的时代,我们竟然可以通过网络看到一些特别的生活片段呢?没错,就是那种让人脸红心跳的国产情侣真实出租屋...